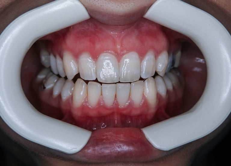
Gum Treatment


Gum treatment focuses on preventing and treating gum disease, which is caused by a build-up of plaque and bacteria around the teeth and gums. In the early stages, gum disease can cause red, swollen, or bleeding gums, while in more advanced stages it can lead to loose teeth and tooth loss.
Treatment usually begins with a deep clean, also known as scaling and root planing, to remove plaque and tartar from above and below the gum line. This allows the gums to heal and reattach to the teeth. In more advanced cases, further treatment or referral to a specialist may be required.
At our clinic, gum treatment is carefully tailored to each patient. We assess the health of your gums, explain your condition clearly, and create a treatment plan to restore and maintain healthy gums. With the right care and regular visits, gum disease can be controlled and, in its early stages, often reversed.


Stops bleeding, swollen, and sore gums
Prevents tooth loss caused by gum disease
Improves breath and oral freshness
Supports long-term oral health
Can reverse early-stage gum disease
Benefits
FAQs
What are the signs of gum disease?
Bleeding gums, bad breath, red or swollen gums, and loose teeth are common signs.
Is gum treatment painful?
Treatment is usually done with local anaesthetic if needed, so discomfort is minimal.
How long does gum treatment take?
It depends on the severity, but most treatments are completed over one or more visits.
